发布时间:2025-10-15
信息来源:中国科学报
字体:
大
中
小
打印
发布时间:2025-10-15
信息来源:中国科学报

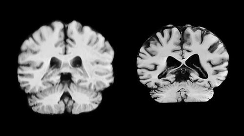
健康大脑(左)和患有阿尔茨海默病的大脑。图片来源:Anatomical Travelogue/SPL
一项10月13日发表于美国《国家科学院院刊》的研究表明,在衰老过程中,男性大脑更多区域减少的体积比女性更大。研究者认为,这意味着与年龄相关的大脑变化并不能解释为何女性更容易被诊断出患有阿尔茨海默病。
“了解健康大脑的变化规律至关重要。只有这样,我们才能更深入理解患上神经退行性疾病后,大脑会发生怎样的改变。”澳大利亚悉尼大学的Fiona Kumfor表示,这项研究进一步丰富了科学家对“典型大脑衰老过程”的认知。
临床上被诊断患有阿尔茨海默病的女性几乎是男性的两倍,而衰老是该疾病的最大风险因素。这促使研究者开始探索大脑中与年龄相关的性别差异。“如果女性大脑衰退程度更严重,或许有助于解释为何她们患阿尔茨海默病的可能性更大。”论文第一兼通讯作者、挪威奥斯陆大学的Anne Ravndal表示。
Ravndal说,此前关于大脑衰老性别差异的研究结果并不一致。多项研究发现,与女性相比,男性的大脑灰质总量和海马体的损失更大。但也有研究表明,女性灰质的下降幅度更大。
新的研究分析了4726人的逾1.25万次脑部磁共振成像扫描结果。每位参与者在3年里至少进行了两次扫描,且均未患有阿尔茨海默病或任何认知障碍。他们是14个大型数据集的对照组人群。
研究人员追踪了这些参与者的大脑结构随时间的变化,观察了灰质厚度、与阿尔茨海默病相关脑区(如对记忆至关重要的海马体)的大小等指标。
结果显示,总体而言,男性大脑在更多区域的体积缩减幅度大于女性。例如,负责处理触觉、疼痛、温度感知及身体位置和运动的中央后皮层,男性每年缩减2.0%,而女性每年缩减1.2%。
Kumfor表示,这一结果表明,男性大脑衰老速度快于女性。而男性的预期寿命也相对较短。
澳大利亚莫纳什大学的Amy Brodtmann指出:“如果这些大脑变化确实与阿尔茨海默病的发病有关,那么这项研究就应发现,女性在与该疾病相关的脑区,如参与记忆的海马体和楔形前叶出现更大的衰退。”
Ravndal认为,研究结果表明,阿尔茨海默病患病率的性别差异可能存在其他解释,例如男女在生存率或疾病易感性上的差异。
Kumfor说,脑容量的性别差异似乎与阿尔茨海默病无关,这并不完全出人意料,因为神经退行性疾病的发病机制十分复杂。要了解这类疾病,需要开展针对阿尔茨海默病患者的纵向研究,比较他们的大脑如何随时间变化。“仅观察与年龄相关的脑萎缩变化,很难解释疾病背后的复杂机制。”她补充说。
Brodtmann指出,尽管这项研究是可靠的,但仍需用更多元化的数据开展进一步调查。例如,该研究的参与者普遍受教育程度较高,他们无法完全代表普通人群。此外,研究数据集也缺乏影响阿尔茨海默病风险的其他关键信息,如种族、女性更年期的年龄等。
研究人员表示,当他们对“教育水平”这一变量进行调整后,发现男性大脑的某些区域不再比女性衰退幅度更大。当他们比较“预期寿命相同”的男性和女性,而不是同龄人时,两组人群的大脑衰退速度变得相近。(王方)
相关论文信息:
https://doi.org/10.1073/pnas.2510486122
相关人物